對於那些為牙齒排列煩惱的人來說,「隱適美」是一個無需在意外觀即可進行矯正的強大夥伴。透過透明牙套逐步移動牙齒,讓您在舒適且不顯眼的情況下獲得理想的笑容。本文將展示隱適美實際案例的矯正前後照片,讓您真實感受牙齒排列變化帶來的驚人效果。

隱適美是一種透過佩戴透明牙套來矯正牙齒排列的方法,能達到不顯眼的效果。患者每7至14天更換一次量身訂製的牙套,逐步移動牙齒,以達到理想的牙齒排列。與傳統的鋼絲矯正不同,隱適美可以拆卸,讓用餐和刷牙更加方便。
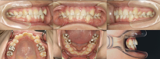
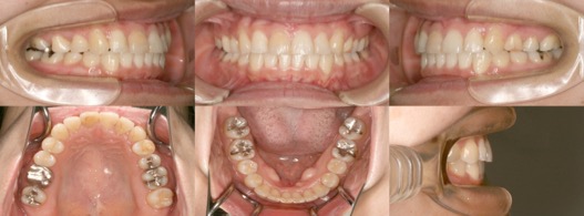
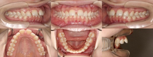
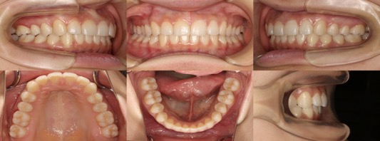
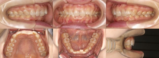
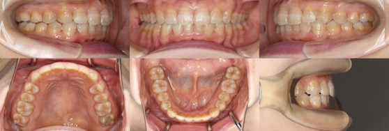
為您介紹隱適美矯正的治療案例。






※案例圖片著作權:隱適美醫師網(禁止轉載)

隱適美可以在不影響外觀的情況下調整牙齒排列,讓您在工作、學校或社交場合中隱藏矯正過程。此外,由於牙套可自行取下,進食和刷牙時也無需擔心矯正裝置的干擾。
隨著治療的進展,您可以逐步感受到自己笑容變得越來越美,這也是隱適美的一大魅力。
透明牙套的設計讓您在佩戴時幾乎不顯眼。不同於傳統的金屬矯正器,隱適美讓您無需在意外觀即可進行矯正治療,特別適合不想在工作或日常生活中讓人看見矯正器的人士。
隱適美不使用金屬材料,因此具有減少口腔不適和疼痛的特點。
在傳統的鋼絲矯正中,矯正器的支架容易刺激頰部或嘴唇,導致疼痛或口腔潰瘍等問題,而隱適美是一種口腔問題較少的矯正方法。
隱適美在用餐和刷牙時可以自由取下,不僅能像往常一樣享受美食,也方便刷牙和使用牙線,有助於保持口腔衛生。
隱適美在治療前會進行3D模擬,使患者能夠視覺化確認治療進程。
可以提前了解牙齒的移動過程,讓治療預期更加清晰,這是隱適美的魅力之一。

隱適美矯正治療相比傳統矯正方法更為隱形且舒適,因而受到眾多患者的支持。
從案例照片的矯正前後對比中,可以清楚地看出其效果。
若您也希望通過隱適美獲得理想笑容,不妨向值得信賴的矯正牙醫諮詢,邁出下一步。
※嚴禁未經許可轉載或複製本網站內的文章和內容。